ORTHOPAEDICS

service-img

About The ORTHOPAEDICS

Orthopaedics at our center is dedicated to providing comprehensive, advanced, and compassionate care for all aspects of musculoskeletal health. From simple fractures to complex joint disorders, our experienced orthopaedic specialists are equipped to handle a wide spectrum of conditions with precision and expertise.

We offer both surgical and non-surgical solutions, ensuring that every patient receives a treatment plan tailored to their unique needs. Our approach begins with accurate diagnostics, followed by personalized therapies designed to restore mobility, reduce pain, and improve function.

Our services includes:

Fracture and trauma management with state-of-the-art techniques.

Joint replacement surgeries including hip, knee, and shoulder replacements.

Sports injury treatment and rehabilitation to help athletes return stronger.

Spine and back care for conditions affecting posture and movement.

Arthritis and degenerative joint disease management with advanced therapies.

Pediatric orthopaedics for bone and joint care in children.

With a commitment to excellence, we combine modern medical technology, evidence-based practices, and compassionate care to help our patients lead healthier, more active lives. Whether it’s getting back on your feet after an injury, overcoming chronic pain, or regaining confidence in your movement, we are here to guide you every step of the way. At our center, your movement is our priority, and your well-being is our mission.

Our Opening Hours

  • Mon-Sat

    11:00am-03:00pm

  • Sunday

    Closed

  • Emergency

    24X7

Stay Connected for Your Health

For appointments, inquiries, or any concerns, our dedicated team is always ready to guide and support you on your healthcare journey.

Make A Call Now

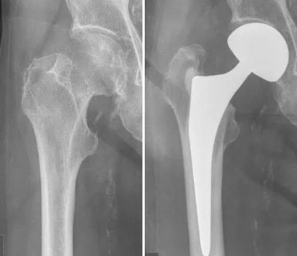
TOTAL HIP REPLACEMENT

Total Hip Replacement (THR) is a life-changing procedure designed for individuals struggling with severe hip pain and limited mobility. At our center, experienced orthopaedic specialists perform THR with precision, replacing the damaged hip joint with a high-quality artificial implant.

This advanced surgery not only relieves persistent pain but also restores flexibility, enhances joint function, and significantly improves overall quality of life. Our care extends beyond the operation itself — from detailed pre-surgical evaluations to customized rehabilitation programs, we ensure every patient experiences a safe, smooth, and confident recovery.

With our expertise in Total Hip Replacement, you can trust us to help you regain mobility, reduce pain, and return to an active, independent, and fulfilling lifestyle.

incubator
Phototherapy

TOTAL KNEE REPLACEMENT

Total Knee Replacement (TKR) is a highly effective solution for individuals suffering from persistent knee pain and restricted mobility. At our center, skilled orthopaedic specialists perform TKR with precision, replacing the damaged knee joint with a durable artificial implant.

This advanced procedure is designed to relieve chronic pain, restore natural movement, and significantly enhance quality of life. Our care begins with thorough pre-surgical evaluations and continues through tailored rehabilitation programs, ensuring a smooth and confident recovery journey.

With our expertise in Total Knee Replacement, we are dedicated to helping you regain mobility, reduce discomfort, and return to a more active, independent, and pain-free lifestyle.

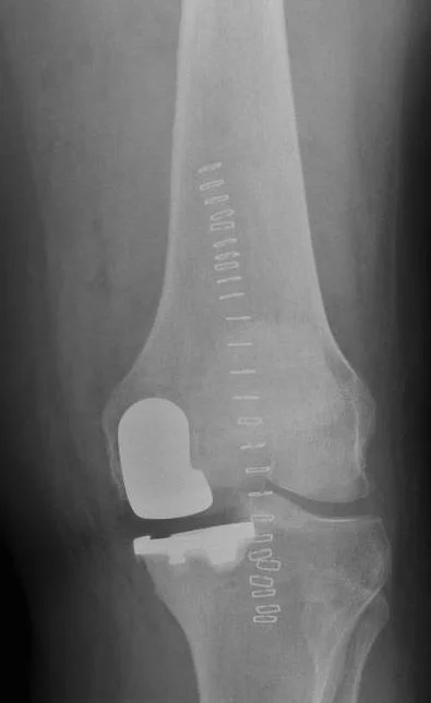
UNICONDYLAR KNEE REPLACEMENT

Unicondylar Knee Replacement (UKR) offers a precise and effective solution for patients with damage confined to a single compartment of the knee. Performed by our experienced orthopaedic specialists, UKR replaces only the affected portion of the joint with a high-quality implant while preserving the healthy bone and tissue.

This minimally invasive procedure is designed to relieve pain, improve joint movement, and promote a quicker recovery compared to total knee replacement. From individualized consultations to comprehensive post-operative care, our team ensures a seamless and supportive treatment journey.

With our expertise in Unicondylar Knee Replacement, we are committed to restoring your mobility, easing discomfort, and helping you return to an active, comfortable, and fulfilling lifestyle.

Incubator
Phototherapy

HEMIARTHROPLASTY FOR NECK OF FEMUR FRACTURE

Hemiarthroplasty for Neck of Femur Fracture is a specialized surgical procedure designed to treat fractures in the hip joint’s neck. Performed by our skilled orthopaedic specialists, the surgery replaces the fractured part of the femur with a durable artificial implant, relieving pain and restoring stability.

This targeted approach aims to preserve joint function, enhance mobility, and support a faster return to daily activities. With detailed pre-operative evaluations and personalized rehabilitation plans, we ensure each patient receives comprehensive and compassionate care.

At our center, we are committed to delivering expert Hemiarthroplasty solutions that promote recovery, improve quality of life, and help patients regain confidence in their movement.

HIGH TIBIAL OSTEOTOMY

High Tibial Osteotomy (HTO) is an advanced orthopaedic procedure designed to treat knee joint problems, especially in the early stages of osteoarthritis. Performed by our expert orthopaedic surgeons, HTO involves carefully realigning the tibia to shift weight away from the damaged area, reducing stress on the joint and improving stability.

This minimally invasive technique helps relieve pain, restore function, and often delays or even avoids the need for a total knee replacement. With personalized consultations, precise surgical planning, and structured rehabilitation programs, we ensure a smooth and effective recovery journey.

At our center, we are dedicated to providing expert High Tibial Osteotomy care that preserves joint health, enhances mobility, and improves overall quality of life.

Incubator
Phototherapy

FRACTURE FIXATION

Fracture Fixation is a crucial orthopaedic procedure that stabilizes and aligns broken bones to ensure proper healing. Performed by our skilled specialists, the treatment involves accurately repositioning the fractured bone and securing it with advanced fixation devices such as plates, screws, or rods to maintain stability throughout recovery.

From detailed pre-operative evaluations to attentive post-operative care, we provide comprehensive support at every stage. Our goal is to restore function, relieve pain, and promote faster healing, enabling patients to regain mobility and return to their normal activities with confidence.

At our center, you can trust us for expert Fracture Fixation, where precision, care, and patient well-being come first.

RHEUMATOLOGY

Rheumatology is a specialized branch of medicine focused on diagnosing and managing conditions that affect the joints, muscles, and connective tissues. At our center, experienced rheumatology specialists provide comprehensive care for a wide range of disorders, including arthritis, lupus, and autoimmune diseases.

With advanced diagnostic tools and personalized treatment strategies, we strive to relieve pain, restore joint function, and improve overall quality of life. From thorough consultations to long-term management, our patient-centered approach emphasizes education, support, and collaboration at every step.

Trust our expertise in Rheumatology to deliver tailored solutions that enhance comfort, preserve mobility, and promote lasting well-being for individuals living with rheumatic conditions.

Rheumatology
Osteoporosis Treatment

OSTEOPOROSIS TREATMENT

Osteoporosis Treatment at our center is designed to strengthen bones, reduce fracture risk, and improve long-term bone health. Guided by experienced specialists, we create personalized care plans that may include advanced medications, tailored nutritional advice, and lifestyle modifications to support stronger bones.

Through precise bone density assessments and evidence-based therapies, we focus on preventing fractures and enhancing overall well-being. Our dedicated team provides ongoing monitoring, education, and support, ensuring a proactive and patient-centered approach at every step.

Trust us for expert Osteoporosis Treatment, where our commitment is to protect bone health, restore confidence, and empower individuals to live active, independent, and resilient lives.

X-RAY

X-ray imaging is an essential diagnostic technique that provides clear insights into the body’s internal structures. At our center, skilled radiographers utilize advanced technology to capture high-quality images that assist in diagnosing a wide range of medical conditions.

From identifying fractures and joint issues to evaluating organ health, X-rays play a vital role in accurate and timely medical decision-making. Our state-of-the-art equipment ensures precision imaging with minimal radiation exposure, making the process safe, quick, and non-invasive.

Trust our expertise in X-ray services to deliver reliable diagnostic results that support prompt, effective, and personalized medical care.

X-ray
Computed Radiography

COMPUTED RADIOGRAPHY

Our Computed Radiography service provides high-quality digital imaging with clarity and precision. Using advanced CR technology, we ensure accurate diagnostics with minimal radiation exposure.

The process is quick, safe, and reliable, helping physicians make informed decisions for effective treatment. With expert radiographers and state-of-the-art equipment, we prioritize patient comfort while delivering dependable results.

Trust us for advanced Computed Radiography that combines innovation, accuracy, and care for better healthcare outcomes.